- · 临床与实验病理学杂志版[06/30]
- · 《临床与实验病理学杂志[06/30]
- · 《临床与实验病理学杂志[06/30]
【衡道丨干货】腹腔低度恶性肌纤维母细胞肉瘤
作者:网站采编关键词:
摘要:低度恶性肌纤维母细胞肉瘤(low-grade myofibroblastic sarcoma,LGMFS)是显示肌纤维母细胞分化的梭形细胞肉瘤,是一种罕见的低度恶性肿瘤,显微镜下常呈纤维瘤病样形态,由于发病率低,
低度恶性肌纤维母细胞肉瘤(low-grade myofibroblastic sarcoma,LGMFS)是显示肌纤维母细胞分化的梭形细胞肉瘤,是一种罕见的低度恶性肿瘤,显微镜下常呈纤维瘤病样形态,由于发病率低,容易漏诊。 今天为大家带来分享的是兰州大学第二医院病理科苏晓路副主任医师,将通过一例发生于腹腔的低度恶性肌纤维母细胞肉瘤,与大家探讨低度恶性肌纤维母细胞肉瘤的组织学形态、免疫表型、鉴别诊断以及预后。
腹腔低度恶性肌纤维母细胞肉瘤1例
病史资料
女,25岁,2011年突然开始出现间断上腹胀痛,并持续4月余,有进食后呕吐症状,自行用药后无缓解入。入院后完善各项检查,生化和胸部CT未见明显异常,盆腔核磁显示腹腔占位性病变。手术所见:腹腔脏器广泛黏连,胰尾部实性占位,黏连脾脏及结肠,随将腹腔肿物、胰尾部瘤体及脾脏切除送检。
大体观察
送检脾脏大小为10cm×7cm×4cm,脾被膜欠完整,脾门处可见一黏连的灰白色肿物,大小为8cm×7cm×5cm,肿物切面灰黄、灰白色,质硬,局部半透明。另见黏连少量胰腺组织的灰红色不整形组织2块,总体积为8cm×5cm×4cm,切面灰黄、灰白色,质硬,与脾门处肿物质地相似,肿物表面局部区域被覆脂肪。
镜下观察
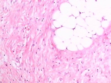
肿瘤细胞由梭形细胞构成,排列成束状、席纹状或片状,弥漫浸润至周围脂肪,如下图1。

图1 (HE×100)
浸润脾脏被膜,如下图2。

图2 HE×40
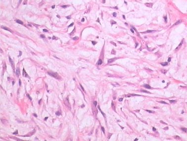
并浸润结肠壁浆膜层直至肌层,肿瘤内可见出血、坏死、囊性变。瘤细胞胞质界限不清,淡嗜酸性,胞核纺锤形或细长波浪形,染色质分布均匀,少数细胞核略肥胖,似圆形,如下图3。

图3 HE×200
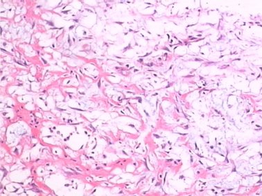
瘤细胞分化程度不一,细胞大部分轻度异型性,少部分呈中度异型性,核增大、深染,可见核分裂像(2-3个/10HPF)。间质可见胶原纤维,并局灶玻璃样变性,肿瘤细胞间有较多薄壁毛细血管,淋巴细胞和浆细胞浸润不明显,如下图4。

图4 HE×100
免疫表型
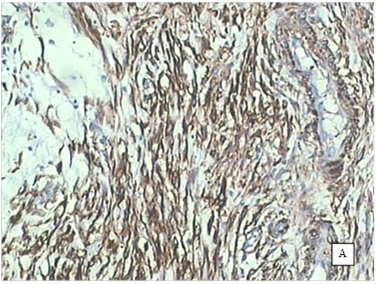
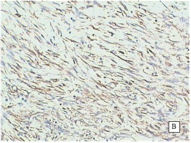
瘤细胞示Vimentin(+),SMA(+++),actin(+),广谱CK(+/-),Desmin(-),CD117(-),CD34(-),S100(-),Ki67约(5%+),如下图5。

图5A SMA在瘤组织中呈强阳性表达(SP×200)

图5B actin在瘤组织中呈阳性表达(SP×100)
最终诊断
根据以上病理形态和免疫组化染色,并结合影像资料,最终诊断为:腹腔低度恶性肌纤维母细胞肉瘤,肿瘤侵犯胰腺及周围脂肪纤维结缔组织,侵及脾门处被膜,浸润至结肠浆膜层和肌层。该肿瘤属中间性肿瘤,局部易复发,建议临床密切随访,定期复查。
讨论
LGMFS是一种特殊的肌纤维母细胞恶性肿瘤,由不同分化程度的肌纤维母细胞构成。Mentzel和Montgomery分别在1998年和2001年[4-5]分别报道了两组低度恶性肌纤维母细胞性肉瘤,这种中间性的肿瘤才逐渐得到大家的认可和重视。2002年WHO软组织肿瘤分类正式将其列为一种独立的病种[1]。
由肌纤维母细胞构成的肿瘤在很长一段时间里存在争议,肌纤维母细胞可能起源于纤维母细胞、血管平滑肌细胞和血管周细胞,在形态和超微结构上介于纤维母细胞和平滑肌细胞的梭形间质细胞,正常分布于各种反应性病变,如具有修复性质的炎性肉芽组织,肌纤维母细胞可作为纤维母细胞的一种功能细胞,产生胶原和收缩的功能,而在伤口愈合后,通过自身凋亡而消失[2]。
肌纤维母细胞的形态与细胞的活动周期有关,一般随着间质的胶原化,肌纤维母细胞的形态向着纤维母细胞发展。在光镜下肌纤维母细胞主要表现为3种形态,长梭形、卵圆形或星芒状,核为卵圆形或一端尖细,染色质稀疏或呈空泡状,可见核仁[2]。由肌纤维母细胞分化的肿瘤包括了一组异质性肿瘤,从良性、中间性、低度恶性再到恶性病变。良性的有结节性筋膜炎、增生性筋膜炎/肌炎、骨化性肌炎等;中间性即低度恶性的有LGMFS、炎症性肌纤维母细胞肿瘤、表浅性纤维瘤病、孤立性纤维性肿瘤、婴幼儿型纤维肉瘤等;恶性者有纤维肉瘤、黏液纤维肉瘤和硬化性上皮样纤维肉瘤等[3]。
临床特征
低度恶性肌纤维母细胞肉瘤发病率低,临床表现无特征性,术前不易确诊,最终诊断还要依赖于术后病理活检、免疫组化或电镜等检查。可发生于任何年龄(7-85岁),中位年龄40岁,主要发生于成年人,男性略多见,少见儿童 [6] 。多见于四肢和头颈部,尤其舌和口腔,其次见于四肢、胸壁、腋下、腹股沟和盆/腹腔。肿瘤可位于皮下或筋膜下,但大多数常位于深部软组织。大部分病例表现为无痛性肿胀或逐渐增大的肿物,发生于盆/腹腔者,部分可有梗阻症状,肿瘤呈破坏性生长,浸润至邻近纤维组织、脂肪组织或骨骼肌,疼痛和相关的症状较罕见,临床常见局部复发,但很少有转移 [7] 。虽然该肿瘤生物学行为比纤维肉瘤和平滑肌肉瘤好,但细胞增殖活性高和有坏死的肿瘤侵袭性更强 [8-9] 。肿瘤大多单发,实性结节,少数为多发结节,大小为1.5-17cm,边界多不清,无完整包膜;肿物切面纤维性,呈灰白色,质地较硬 [4-5] 。
文章来源:《临床与实验病理学杂志》 网址: http://www.lcysyblxzz.cn/zonghexinwen/2022/0301/606.html
上一篇:病理学博士:飞机坠毁前萨拉已一氧化碳中毒 排
下一篇:抗病毒药物组合可高效应对新冠